Dental Crowns
Crowns in Dacula, GA


What is a Dental Crown?
The word crown is not the best term for describing dental crowns. After all, a crown is more of a ring or band, while a dental crown is more of a cap. This is precisely why they used to be called caps rather than crowns! They fit snugly over a tooth that has been treated by the dentist, and are made of super durable materials that allow the crown to perform exactly as the original tooth once did.
They are used for a variety of reasons, including:
- Decayed teeth that cannot be safely treated with a traditional filling or restoration
- Teeth that are to be put to use as abutments for a dental bridge
- Teeth that have had root canal therapy
- To complete most dental implants
- Teeth that are chipped or cracked, fractured or otherwise damaged beyond repair
- Teeth that are deeply stained and resistant to traditional whitening

This tells us that dental crowns can be restorative dentistry in addition cosmetic dentistry too. They are dependable for their ability to bring pain to an end (though some patients do have sensitivity for a short period after a crown is first placed). They also restore any tooth to its fullest function, ensuring that it remains in place and holds the bite in its original, healthy alignment. While working as a perfect replacement, the dental crown is also going to eliminate all of the problems that can be caused by the loss of an adult tooth, such as jaw pain, uneven wear, teeth grinding and more.
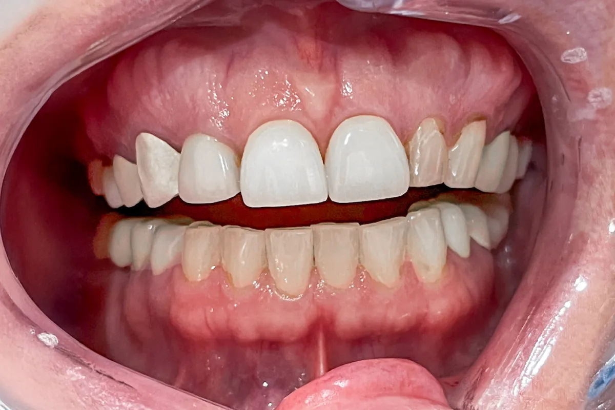
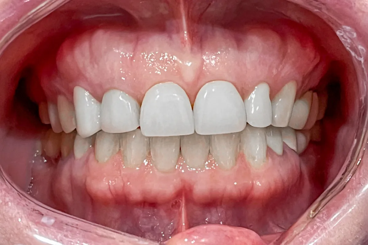
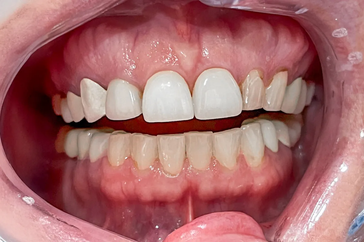
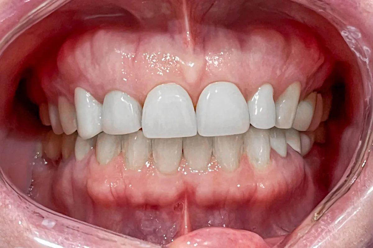
See the results for yourself!



What to Expect
If you discover you require a crown, it is going to take only two visits to the dentist office. During your first visit, the general or restorative dentist will do whatever treatment is needed to the tooth. This could be a root canal, a filling or some shaping and repair. They will then take a mold of the bite and send this to a lab where the crown is made. It will be colored to match the surrounding teeth and it will look exactly like a natural tooth.
Before you leave, we are going to place a temporary crown to protect the tooth. When your new crown returns from the lab, you come in and we will bond it in place and ensure that your bite is comfortable. You can then begin to use that new crown just as you did the natural tooth!
